
Cosmetic Dentistry
Benefits of Cosmetic Dentistry
Enhanced Appearance
The most obvious benefit of aesthetic dental treatment is that it allows cosmetic dentists to improve the balance, beauty, and symmetry of your smile. These options can also reduce the signs of aging by giving you a more youthful appearance.
Improved Confidence
When you look your best, you feel your best. Because cosmetic dentistry procedures can dramatically improve the appearance of your smile, they can also give you a boost in confidence and self-esteem.
Motivation for Better Oral Health
While cosmetic treatments do not directly impact oral health, they often encourage patients to take better care of their teeth and gums. When you have an attractive smile, you want to maintain it.
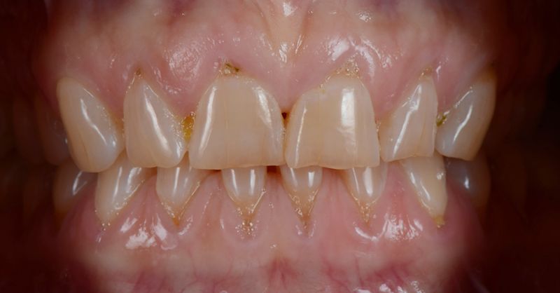
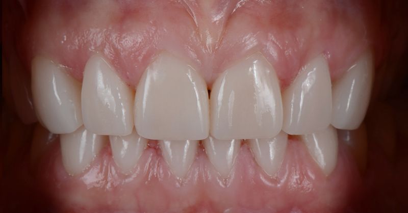
Transformative Results With Cosmetic Dentistry


Schedule a Cosmetic Consultation
Even if you are in good oral health, there may be certain elements of your smile that you wish to improve. Our dental team has the skill, knowledge, and experience necessary to achieve the results you desire. During a cosmetic consultation at Vitacare Dental Centre, we can design a plan that is tailored to your unique goals and preferences.
In addition to cosmetic dentistry, we also provide comprehensive care through restorative and implant dentistry. No matter what your oral health needs may be, we can help. Contact us online or give us a call in Coquitlam at:
(778) 355-3535

"The Best Dental Experience"
Just had my crown done at Vitacare Dental Centre. Dr. Vanessa Lee and Ellie are very professional , gentle and care . This is the best dental experience for me.
Just went to Vitacare for the very first time today. Had a checkup and filling done with Dr. Lee. She is by far the best dentist I've had so far!
Thanks for such a good experience :)
What Can Cosmetic Dentistry Accomplish?

Am I a Candidate for Cosmetic Dentistry?
To qualify for any type of cosmetic procedure, you must:
Be in Good Oral Health
Patients should not have severe decay, gum disease, or any other condition that could affect their oral health or the results of treatment. If necessary, restorative procedures can be performed to improve oral health prior to cosmetic work.
Have Realistic Expectations
In addition, individuals should have a thorough understanding of their treatment plan and realistic expectations of the results that can be achieved. Candidacy can be discussed in more detail during a consultation at our Coquitlam practice.
The Start to the Smile of Your Dreams Is One Phone Call Away
Vitacare Dental Centre can upgrade your healthy smile by making your teeth whiter, straighter, and more proportional to each other. Having a healthy-looking smile is hard to not show off, even if you've dealt with stained or misaligned teeth for years.
Our dentists have a variety of techniques and the experience to perform a range of dental treatments that will address any cosmetic flaw in your teeth. Dr. Wong and Dr. Lee invite you to relax by our fireplace and enjoy a wide range of amenities when you come to our patient-focused dental office in Coquitlam, BC.
Contact our dental office online or call:
(778)355-3535

Praise From Our Patients
"My whole family (including 2 kids under 5) recently started going to Vitacare and all I can say is they are great! I have never had such good and pain free care. 100% recommend Dr. Lee." Shelby Murray
We Use Advanced Technology To Deliver High-Quality Treatment
Before you undergo any treatment, our dentists will take note of your goals for your smile and create a treatment plan customized for you.
Vitacare Dental Center in Coquitlam, BC, can give patients a detailed preview of their results thanks to our state-of-the-art technology. With iTero® 3D imaging, we can capture detailed impressions of your teeth and gums that can be digitally altered to give you a clear idea of how cosmetic dentistry will enhance your smile. We can also create wax-ups (temporary restorations) to give you a tangible glimpse at how your smiles will transform.
There's nothing like being able to see and feel the results you can expect to achieve before committing to treatment. This is just one of the ways we help patients make informed decisions about their care.

Common Cosmetic Dentistry Procedures
Dental Bonding
This minimally invasive procedure involves the application of composite resin to the affected areas. Bonding can conceal minor imperfections like chips, cracks, and tooth discoloration. Once complete, the results last about five to seven years on average. Because it does not require the removal of enamel, this procedure is reversible.
Porcelain Veneers
Like dental bonding, porcelain veneers can alter the size and shape of the teeth. Each veneer is custom-made and adheres to the front surface of the treated tooth. They are incredibly natural looking and have a translucency that is similar in appearance to dental enamel. Porcelain veneers can typically be placed during two visits to our Coquitlam practice.
Invisalign
Straighter teeth are not only more attractive, they are also easier to clean. Invisalign® is a popular orthodontic alternative that improves tooth alignment with clear trays. This system is preferable to traditional braces for several reasons: the aligners are discreet, more comfortable, and removable.
Teeth Whitening
Extrinsic dental stains, the discoloration caused by dark-colored foods and beverages, can be addressed with professional teeth whitening. We offer in-office and at-home whitening treatments. Both can lighten natural tooth enamel by several shades. We can discuss which teeth whitening option is best for you during an exam or consultation.
Smile Makeover
If you have multiple cosmetic issues, a smile makeover is an excellent solution. This treatment plan combines two or more procedures. For instance, many individuals combine porcelain veneers and teeth whitening for more comprehensive results. Each smile makeover plan is custom-designed to meet your unique needs.
See Which Procedure Is Right For You
Call or Email Our Coquitlam, BC, Office Today
Depending on your cosmetic needs, we can perform one or several treatments to give you brighter, straighter teeth and an overall enhanced smile. Thanks to modern technology and effective dental techniques, Dr. Wong and Dr. Lee can upgrade your smile in as little as one office visit.
A beautiful smile requires a healthy foundation, so our dentists will also check to make sure that your gums and teeth are free of issues. Patients who are suffering from conditions like gum disease, infected teeth, and TMJ disorder can undergo restorative dentistry at our Coquitlam, BC, office in preparation for cosmetic upgrades.
Contact our office online to request a consultation or call:
(778) 355-3535

"I’ve been with Vitacare Dental for several years now and received treatment primarily from Dr. Wong but also Dr. Lee. The care is excellent! Both dentists are attentive and considerate of their patients needs and wishes. I’m very happy I discovered this practice." Marissa Leanne
The Vitacare Dental Centre Advantage
Flexible Scheduling
We're open late Wednesday and Thursday and have office hours on Saturday.
Personalized Treatment Plans
Every patient is unique and has different needs. We explain our procedures in detail and use the latest technology to show how we'll improve your smile.
Professional Affiliations
Our doctors stay informed of the latest developments in the field of dentistry thanks to our affiliations with the Canadian Dental Association, American Academy of Implant Dentistry, the University of British Columbia, and other prestigious dental institutions.
Paying For Treatment
Having a brighter and healthier-looking smile can greatly improve your self-esteem, making the costs of these dentistry treatments a worthwhile investment.
Since we customize our cosmetic dentistry plans for each of our patients, the best way to get an estimated cost of treatment is to schedule a consultation. Dental insurance doesn't cover cosmetic dentistry, but Our Coquitlam, BC, dentistry office will take plenty of time to present you with options that can help you realize your goals in a way that doesn't exceed your budget. We are looking forward to working with you to create a strategy that gives you a dazzling new smile and a thrilling boost in confidence.
Combining Cosmetic and Restorative Dentistry
In addition to cosmetic services, we also offer a wide range of restorative options, including dental implants, dentures, crowns, bridges, fillings, full mouth reconstruction, and more. Depending on your needs, our dentistry team in Coquitlam can combine these services to improve your oral health and aesthetics. For example, we can place dental implants to replace missing teeth, and then place crowns or veneers on your remaining teeth for beautiful results. No matter what your specific needs may be, we can design a plan that will help you achieve the results you desire.

"I Am Very Pleased with the Results"
I got a couple of fillings here that gave me trouble and kept needing adjusting. I had to go back enough that the receptionist knew who I was when I went in. The staff was nice and caring, and Dr. Lee texted me a week or so after each appointment to see how I was doing.
Overall, a good experience for going to the dentist.
I had some serious work done that required a lots of hours in the chair, ithe work required the removal and replacement of crowns. The work was done efficiently and carefully with lots of respect and concern for the patient. I am very pleased with the results and would recommend Vitacare to my friends.












